▶カタパルトの結果速報、ICCサミットの最新情報は公式Xをぜひご覧ください!
▶新着記事を公式LINEで配信しています。友だち申請はこちらから!
▶過去のカタパルトライブ中継のアーカイブも見られます! ICCのYouTubeチャンネルはこちらから!
ICC KYOTO 2025 リアルテック・カタパルトに登壇いただき、見事優勝に輝いた、LIFESCAPES 林 正彬さんのプレゼンテーション動画【諦めていた生活をもう一度、BMI医療機器で、脳卒中後の重度の手指麻痺を改善する「LIFESCAPES」】の文字起こし版をお届けします。ぜひご覧ください!
ICCサミットは「ともに学び、ともに産業を創る。」ための場です。そして参加者同士が朝から晩まで真剣に学び合い、交流します。次回ICCサミット FUKUOKA 2026は、2026年3月2日〜3月5日 福岡市での開催を予定しております。参加登録は公式ページをご覧ください。
本セッションのオフィシャルサポーターは 慶應イノベーション・イニシアティブ です。
▶【速報】諦めていた生活をもう一度、BMI医療機器で重度の手指麻痺を改善する「LIFESCAPES」がリアルテック・カタパルト優勝!(ICC KYOTO 2025)
▼
【登壇者情報】
2025年9月1〜4日開催
ICC KYOTO 2025
Session 7A
REALTECH CATAPULT リアルテック・ベンチャーが世界を変える
Sponsored by 慶應イノベーション・イニシアティブ
林 正彬
LIFESCAPES
取締役CSO
公式HP | 公式X
慶應義塾大学理工学研究科を修了後、株式会社ディー・エヌ・エーへ新卒入社。ヘルスケア事業部にて、新規事業の立ち上げ、製薬企業向けサービスの企画、法人営業、アライアンス業務などを推進。在職中に慶應義塾大学大学院後期博士課程へ進学し、Brain-Machine Interface(BMI)に関する基礎研究に従事、博士(理学)を取得。2021年7月、慶應義塾大学発のスタートアップであるLIFESCAPESに参画し、CSOとして技術・事業開発をリード。神経科学研究とディープテック事業化の経験を基盤に、2024年には医療機器の上市を実現。研究成果と実社会の橋渡しを行い、中枢神経疾患領域における革新的医療機器の社会実装に挑戦している。
▲
林 正彬さん こんにちは、Brain-Machine Interface技術による「治ることを諦めない」世界の実現を目指すLIFESCAPESです。

自分の手なのに動かせない
想像してください。
ある日、突然目の前が暗くなり、言葉が出なくなり、手や足が動かなくなる。
気がついた時には、病院のベッドの上。
これは、脳卒中の発作による症状です。

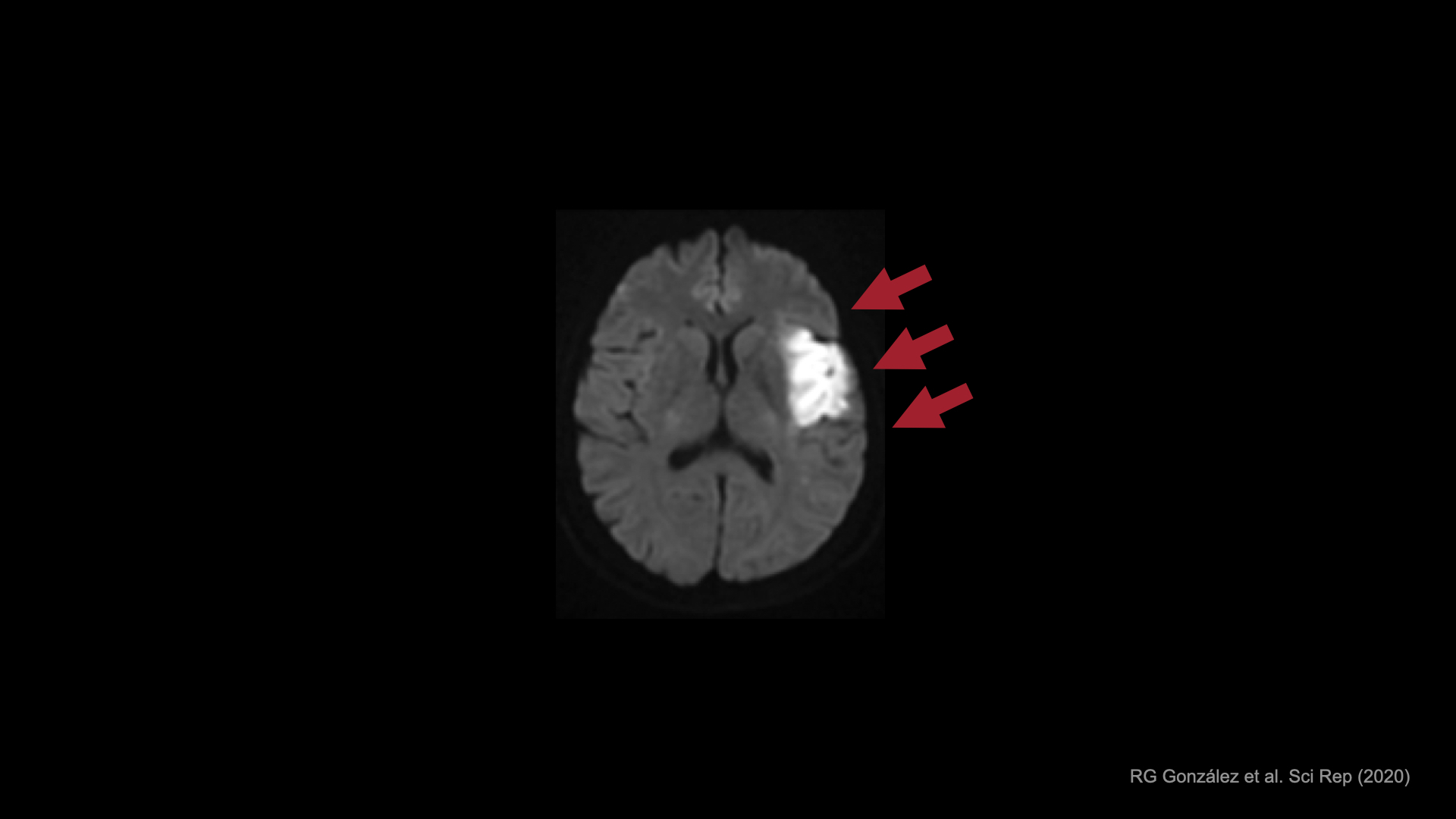
こちらは、脳卒中患者のMRI画像です。

運動機能を司る領域が深刻なダメージを受けたことで、手には重度の麻痺が残ってしまいました。
数日後からリハビリが始まりますが、どれだけ努力しても指1本動かない。
固く握りしめたままの手は、まるで他人の手のように、自分の意思に全く応えてくれません。
そして、医師からこう告げられました。
「あなたの手はもう、治りません」

脳卒中は他人事ではない身近な病気
4疾病4 の1つである脳卒中は、高齢化に伴い患者数がここ10年で40%も増加し、国内で188万人もの方が後遺症に苦しんでいます。
そしてなんと、ここにいる方の4人に1人が発症する、とても身近な病気です。

しかし重度の麻痺が残った場合、既存治療の有効性は認められていません。
幸いにも麻痺が中等度や軽度であれば段階的に回復していきますが、一番解決したいはずの重度な麻痺ほど治すことができないのです。

その理由は、既存治療は全て、麻痺した手そのものに対してアプローチしているためです。
一方、手をコントロールしているのは脳ですので、大元の制御中枢に作用しないといけません。

埋め込み手術不要の非侵襲型BMIを開発
この脳に直接アプローチする技術開発は、近年急速な盛り上がりを見せています。
その代表例が、イーロン・マスクらによる埋め込み型のBrain-Machine Interface(BMI)です。
微小な電極を専用ロボットで脳内に埋め込む技術で、すでに米国では治験も開始されていますが、手術を必要とします。
そこで私たちは、手術を必要としない、非侵襲型のBMIの開発を進めてきました。
実際に開発した製品が、こちらです。
頭に被るウェアラブル脳波計で脳波を計測します。

脳波はPCに伝送され、AIが脳活動を精度高く分析します。

脳活動が上昇したと判断されれば、ロボットと電気刺激が駆動され、麻痺した手の動きをサポートし
ます。

これにより「手が動いた」という感覚が脳内にフィードバックされ、代償経路の構築を促します。
▶Technology(LIFESCAPES)
慶應義塾大学で医工連携
では、なぜ脳内に電極を埋め込まずに済むのでしょうか?
それは独自の脳波解析技術によるものです。
脳波はノイズに弱い成分ですが、多層的なノイズ除去を施し、生理学に基づくバイオマーカーを抽出することで、正確な脳活動の推定を実現しています。

このコア技術は、慶應義塾大学において、医学部の臨床知見と理工学部のものづくりやコンピュータサイエンスの強みを融合させ、発展させてきたものです。

理工学部教授牛場(潤一さん)を中心に、すでに24件以上の特許を保有し、確かな事業基盤を築いています。

重度症例でも74%に治療効果が出現
それでは、これまでの臨床研究についてお話しします。
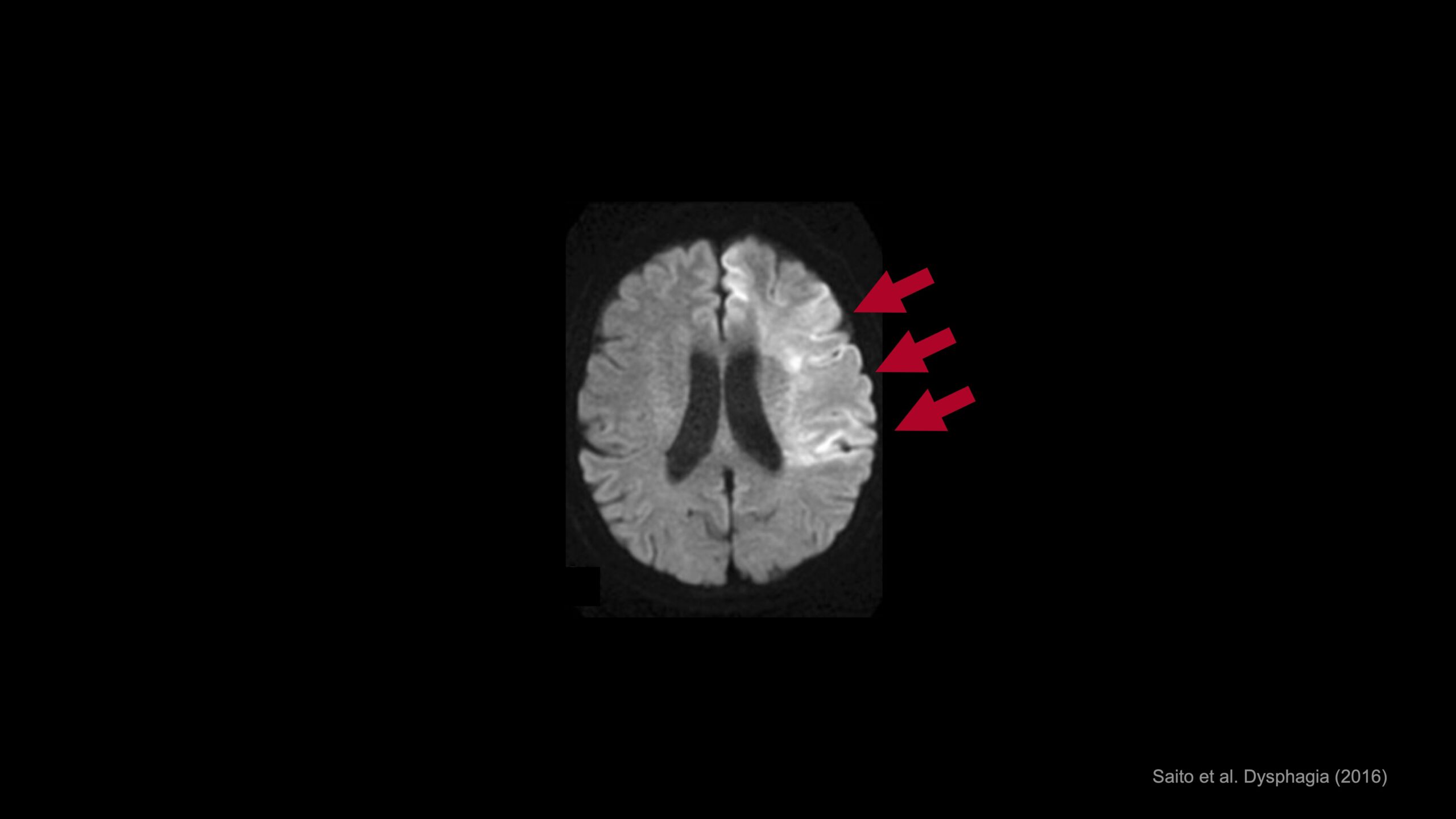
こちらは、重度症例のMRI画像です。

麻痺している右手を動かそうとしても、運動の生成に必要な運動野には活動が見られません。

しかし、1日40分の訓練をたった10日間続けることで、運動野の活動が新たに出現することが分かりました。

さらに、積み木を掴んだ後、握り込んでしまって離せなかった右手が、2週間後には積み木を掴んだり、離したりすることができるようになりました。

臨床研究の結果、既存治療では回復が難しかった重度症例においても、治療効果は実に74%という成績を収めました。
このように、脳波計で残存した脳活動を計測し、ロボットで体の動きをアシストすることで、代償経路が構築され、麻痺した手を回復できることを、私たちは世界に先駆けて示したのです。

2024年の上市後、累計140病院で使用
我々は、この技術をなんとかして医療機器にしようと開発に励んできました。
その結果、昨年(2024年)6月には薬事認証を取得し、上市することができました。
▶「LIFESCAPES 医療用BMI(手指タイプ)」、日本における医療機器認証を取得、 厚生労働省に保険適用を申請(LIFESCAPES)

発売から約1年、日本全国への普及が進み、累計140病院においてご使用いただいています(貸出等も含む)。
治療実績も順調に推移し、2025年の9月末までには、約1,000症例に達する見込みです。

そして2025年6月、最新の「脳卒中治療ガイドライン」(脳卒中治療ガイドライン2021〔改訂2025〕)において、推奨項目欄にBMIを記載いただくことができ、医療の常識がアップデートされたのです。

諦めていた右手が見違えるように回復
こちらは、ある患者さんの映像です。

回復も頭打ちになり、リハビリへの気力も失われ始めた時、BMIと出会いました。
周囲の人に励まされ、一念発起してリハビリに取り組みました。
すると、2週間後には、大幅に運動機能が向上しました。
その後も治療を続けることにより、6週間後にはスムーズな運動もできるようになりました。
治ることを諦めていた右手が、たった数週間で見違えるように回復したのです。
さらに、今では文字を書いたり、食事で箸を使用したりするなど、日常生活動作の改善も見られています。

国を越え、救われる患者を1人でも多く
こんな風にBMIと出会うことで、救われる患者さんを1人でも増やしたい。
そのために、私たちは次なる挑戦をしています。
その1つが、東南アジアへの展開です。
こちらはマレーシアにある病院ですが、病床数は1,000床、日本の約10倍です。

大型の病院建設や先端医療の導入に積極的で、フィリピンやタイなどにおいても、その流れが波及しています。
先日、その1つの病院で、テストトライアルを行っていただきました。

その結果、彼らも治療効果に驚き、複数台購入いただくに至りました。
国を越えて現地の医療従事者に使われ、患者さんが回復し、喜びの輪が広がっていく光景は、本当にかけがえのないものでした。
在宅版のBMIも開発
さらに私たちは病院での確かな医療を、誰もが簡単に、自宅でも使えるような在宅版のBMIを開発しています。

今後の計画ですが、現在追加の資金調達を予定しており、在宅向けのデバイス開発や海外展開を進めていきます。

この実現には、BMIの認知拡大や販路開拓、事業アライアンスなど、多方面での力が必要です。
ぜひ皆さんとともに、この挑戦を成長へとつなげていきたいと思っています。
揺るぎない社会実装への思い
なぜ私は、この事業に懸けるのか?
私自身は、学部生の頃から博士号取得までの間、BMIの研究に取り組んできました。
当時研究に協力していただいた患者さんから、こんなことを言われました。

「どうせ手が動かないのなら、いっそなくしてしまいたい。
でも、この技術に出会って初めて、希望を持つことができた。
同じ思いをしている患者さんにも届けてほしい。
BMIは、私たちの希望だ」と。
この言葉を聞いて、私は「自分の手をなくしたいなんて、もう二度と思わせてはいけない」と、強く突き動かされました。
そして、BMIを必要とする患者さんに届けるために、必ず社会実装しなければいけないと、胸に誓って、ここに戻ってきました。

明日へ向かって生きる人たちを応援
「あなたの手はもう、治りません」、こんなワンシーンが医療の現場からなくなるように全力を尽くします。

治ることを諦めるのではなく、あのささやかで大切な日々を取り戻すために、私たちLIFESCAPESは、サイエンスとテクノロジーの力で、明日へ向かって生きる人たちを応援し続けます。

ご清聴ありがとうございました。

(終)
▶カタパルトの結果速報、ICCサミットの最新情報は公式Xをぜひご覧ください!
▶新着記事を公式LINEで配信しています。友だち申請はこちらから!
▶過去のカタパルトライブ中継のアーカイブも見られます! ICCのYouTubeチャンネルはこちらから!
編集チーム:小林 雅/浅郷 浩子/正能 由佳/戸田 秀成


